Gordura no Fígado Sintomas: Sinais, Diagnóstico e Tratamentos
Gordura no Fígado: Sintomas, Diagnóstico e Tratamentos Eficazes
A gordura no fígado, ou esteatose hepática, é uma condição cada vez mais comum que afeta milhões de pessoas em todo o mundo. Esta doença silenciosa pode progredir sem sintomas aparentes até atingir estágios avançados, comprometendo seriamente a saúde hepática. Conhecer os sinais de alerta e entender como identificá-los pode fazer toda a diferença para um diagnóstico precoce e tratamento eficaz.
Representação do acúmulo de gordura no fígado, característica da esteatose hepática
O que é Gordura no Fígado (Esteatose Hepática)?
A esteatose hepática ocorre quando há um acúmulo excessivo de gordura nas células do fígado. Quando mais de 5% das células hepáticas estão compostas por gordura, configura-se a doença hepática gordurosa. Este órgão vital, responsável por mais de 500 funções no organismo, fica comprometido em sua capacidade de processar nutrientes, filtrar toxinas e produzir proteínas essenciais.
Comparação entre um fígado saudável (esquerda) e um fígado com acúmulo de gordura (direita)
Existem dois tipos principais de esteatose hepática:
Esteatose Hepática Alcoólica
Causada pelo consumo excessivo de álcool, que sobrecarrega o fígado e prejudica sua capacidade de metabolizar gorduras adequadamente.
Esteatose Hepática Não Alcoólica (DHGNA)
Relacionada principalmente a fatores metabólicos como obesidade, diabetes tipo 2, resistência à insulina e níveis elevados de colesterol e triglicerídeos no sangue.
Principais Sintomas da Gordura no Fígado
A esteatose hepática é frequentemente chamada de “doença silenciosa” porque, em seus estágios iniciais, raramente apresenta sintomas evidentes. No entanto, à medida que a condição progride, alguns sinais podem começar a aparecer. Reconhecer estes sintomas precocemente é fundamental para buscar ajuda médica e prevenir complicações mais graves.
A fadiga e o desconforto abdominal são sintomas frequentes da esteatose hepática
Sintomas Iniciais (Estágios Leves a Moderados)
- Fadiga persistente: Sensação constante de cansaço, mesmo após períodos adequados de descanso.
- Desconforto abdominal: Dor ou sensação de peso na parte superior direita do abdômen, onde o fígado está localizado.
- Mal-estar geral: Uma sensação vaga de que algo não está bem no corpo.
- Perda de apetite: Diminuição do interesse por alimentos ou sensação de saciedade precoce.
- Náuseas ocasionais: Sensação de enjoo que pode vir e ir sem causa aparente.
- Dores de cabeça frequentes: Cefaleias recorrentes sem explicação clara.
- Dificuldade de concentração: Problemas para manter o foco em tarefas cotidianas.
Preocupado com estes sintomas?
Descubra como identificar e tratar a gordura no fígado com nosso guia completo. Informações baseadas em evidências científicas para ajudar você a recuperar sua saúde hepática.
Saiba Mais Sobre TratamentosSintomas Avançados (Estágios Graves)
Quando a esteatose hepática progride para estágios mais avançados, como a esteato-hepatite (NASH), fibrose ou cirrose, os sintomas tendem a se tornar mais evidentes e preocupantes:
Icterícia: amarelamento dos olhos e da pele em estágios avançados
- Icterícia: Amarelamento da pele e da parte branca dos olhos.
- Urina escura: Coloração semelhante à de refrigerante de cola.
- Fezes claras: Evacuações de cor esbranquiçada ou acinzentada.
- Edema: Inchaço nas pernas, tornozelos e pés.
Ascite: acúmulo de líquido no abdômen em casos graves
- Ascite: Acúmulo de líquido na cavidade abdominal.
- Confusão mental: Dificuldade de raciocínio e desorientação.
- Perda de massa muscular: Diminuição da musculatura corporal.
- Coceira na pele: Prurido intenso e persistente.
Fatores de Risco e Causas da Gordura no Fígado
Principais fatores de risco associados ao desenvolvimento da esteatose hepática
Fatores de Risco para Esteatose Alcoólica
- Consumo excessivo de álcool: Principal causa deste tipo de esteatose.
- Consumo frequente: Mesmo em quantidades moderadas, mas de forma regular.
- Predisposição genética: Fatores hereditários que afetam o metabolismo do álcool.
- Desnutrição: Deficiências nutricionais que comprometem a função hepática.
Fatores de Risco para Esteatose Não Alcoólica
- Obesidade: Especialmente gordura abdominal (visceral).
- Diabetes tipo 2: Associado à resistência à insulina.
- Síndrome metabólica: Conjunto de condições que aumentam o risco cardiovascular.
- Colesterol e triglicerídeos elevados: Dislipidemia.
- Sedentarismo: Falta de atividade física regular.
- Dieta rica em açúcares e gorduras: Especialmente frutose e gorduras saturadas.
- Fatores genéticos: Predisposição hereditária.
- Apneia do sono: Distúrbio respiratório durante o sono.
Condições Médicas Associadas
- Hepatites virais: Especialmente hepatites B e C.
- Uso de certos medicamentos: Como corticosteroides, tamoxifeno, amiodarona e metotrexato.
- Exposição a toxinas: Substâncias químicas que danificam o fígado.
- Rápida perda de peso: Emagrecimento muito acelerado.
- Cirurgias bariátricas: Procedimentos para redução de estômago.
- Gravidez: Esteatose hepática gestacional (rara).
Prevalência da esteatose hepática em diferentes grupos de risco
Diagnóstico da Gordura no Fígado
O diagnóstico da esteatose hepática geralmente começa com a avaliação dos sintomas e fatores de risco, seguido por exames específicos para confirmar a presença de gordura no fígado e determinar sua gravidade.
A avaliação médica completa é essencial para o diagnóstico correto da esteatose hepática
Exames de Sangue
| Exame | O que Avalia | Alterações na Esteatose |
| TGO/AST e TGP/ALT | Enzimas hepáticas que indicam lesão nas células do fígado | Elevação, especialmente da TGP/ALT |
| Gama-GT | Enzima que aumenta em caso de obstrução biliar ou lesão hepática | Frequentemente elevada |
| Fosfatase Alcalina | Enzima presente em vários tecidos, incluindo fígado e ossos | Pode estar elevada |
| Bilirrubina | Pigmento resultante da quebra de hemoglobina | Normal nos estágios iniciais, elevada em casos avançados |
| Albumina | Proteína produzida pelo fígado | Reduzida em casos avançados |
| Tempo de Protrombina | Capacidade de coagulação do sangue | Prolongado em casos de comprometimento hepático grave |
Exames de Imagem
Ultrassonografia Abdominal
Exame não invasivo que pode detectar a presença de gordura quando atinge mais de 30% do fígado. É o método mais utilizado inicialmente por ser acessível e de baixo custo.
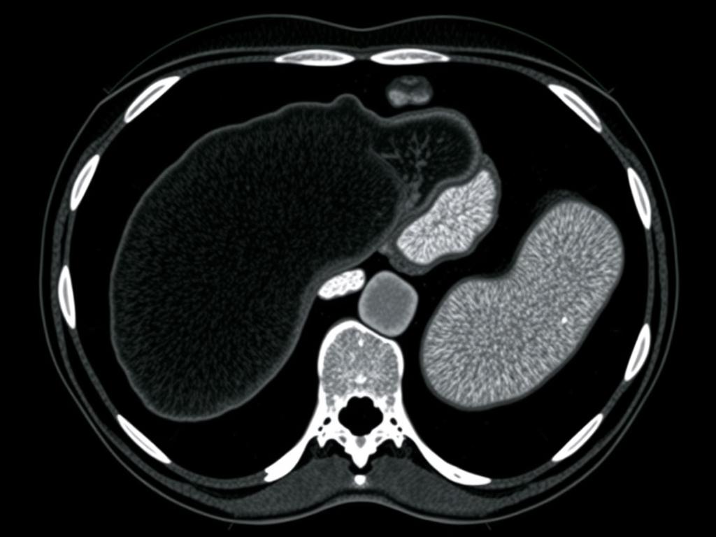
Tomografia Computadorizada
Fornece imagens mais detalhadas e pode quantificar com maior precisão o grau de infiltração gordurosa, além de identificar outras alterações hepáticas.
Ressonância Magnética
Considerada o método mais preciso para quantificar a gordura hepática, especialmente com técnicas específicas como a espectroscopia por RM.
Métodos Avançados de Diagnóstico
Elastografia hepática (FibroScan) para avaliação de fibrose
- Elastografia hepática (FibroScan): Avalia a rigidez do fígado, que se correlaciona com o grau de fibrose.
- ARFI (Acoustic Radiation Force Impulse): Técnica de ultrassom que mede a elasticidade do tecido hepático.
Biópsia hepática: padrão-ouro para diagnóstico definitivo
- Biópsia hepática: Considerada o “padrão-ouro” para diagnóstico definitivo, permite avaliar o grau de esteatose, inflamação e fibrose.
- Marcadores séricos de fibrose: Exames de sangue que estimam o grau de fibrose (FIB-4, NAFLD Fibrosis Score).
Preocupado com sua saúde hepática?
Acesse nosso guia completo sobre tratamentos naturais e eficazes para gordura no fígado. Baseado em pesquisas científicas e recomendações médicas.
Conheça os Tratamentos RecomendadosTratamentos para Gordura no Fígado
O tratamento da esteatose hepática concentra-se principalmente em modificações no estilo de vida, controle das condições associadas e, em alguns casos, intervenções medicamentosas. O objetivo é reduzir a quantidade de gordura no fígado, prevenir a progressão da doença e evitar complicações.
A atividade física regular é fundamental no tratamento da esteatose hepática
Mudanças no Estilo de Vida
Perda de Peso
A redução de 5-10% do peso corporal pode diminuir significativamente a gordura no fígado. Para pacientes com sobrepeso ou obesidade, esta é a intervenção mais eficaz.
- Perda de 3-5%: Reduz a esteatose
- Perda de 7-10%: Diminui a inflamação
- Perda >10%: Pode reverter a fibrose
Atividade Física
Exercícios regulares ajudam a reduzir a gordura hepática mesmo sem perda significativa de peso, melhorando a sensibilidade à insulina e o metabolismo das gorduras.
- 150 minutos semanais de atividade moderada
- Combinar exercícios aeróbicos e de resistência
- Reduzir o tempo em comportamento sedentário
Alimentação Recomendada
A dieta mediterrânea é considerada ideal para pessoas com esteatose hepática
Alimentos Recomendados
- Frutas e vegetais: Ricos em antioxidantes e fibras.
- Grãos integrais: Aveia, arroz integral, quinoa.
- Proteínas magras: Peixe, frango sem pele, tofu.
- Gorduras saudáveis: Azeite de oliva, abacate, nozes.
- Café: Estudos sugerem efeito protetor para o fígado.
- Chá verde: Propriedades antioxidantes benéficas.
- Alimentos ricos em ômega-3: Peixes como salmão, sardinha.
Alimentos a Evitar
- Açúcares adicionados: Refrigerantes, doces, sucos industrializados.
- Carboidratos refinados: Pão branco, massas, bolos.
- Gorduras saturadas: Carnes gordurosas, embutidos.
- Gorduras trans: Alimentos ultraprocessados, frituras.
- Álcool: Mesmo em pequenas quantidades pode agravar a condição.
- Sal em excesso: Alimentos industrializados, conservas.
- Frutose industrial: Presente em xarope de milho e adoçantes.
Tratamentos Medicamentosos
Atualmente, não existem medicamentos especificamente aprovados para tratar a esteatose hepática. O tratamento medicamentoso concentra-se no controle das condições associadas e na prevenção da progressão da doença.
- Controle do diabetes: Metformina, pioglitazona, agonistas do GLP-1.
- Controle do colesterol: Estatinas (quando indicadas).
- Controle da hipertensão: Anti-hipertensivos adequados.
- Vitamina E: Em alguns casos de NASH sem diabetes.
- Ácido ursodesoxicólico: Em situações específicas.
Atenção: Nunca se automedique. Qualquer tratamento medicamentoso deve ser prescrito e acompanhado por um médico especialista, como um hepatologista ou gastroenterologista.
Prevenção da Gordura no Fígado
A prevenção da esteatose hepática está diretamente relacionada à adoção de um estilo de vida saudável e ao controle dos fatores de risco. Pequenas mudanças nos hábitos diários podem fazer uma grande diferença na saúde do seu fígado.
Um estilo de vida saudável é a melhor forma de prevenir a esteatose hepática
Alimentação Equilibrada
- Priorize alimentos naturais e minimamente processados
- Consuma pelo menos 5 porções de frutas e vegetais diariamente
- Escolha grãos integrais em vez de refinados
- Limite o consumo de açúcares adicionados
- Evite gorduras trans e reduza gorduras saturadas
Atividade Física Regular
- Pratique pelo menos 150 minutos de exercícios moderados por semana
- Inclua atividades aeróbicas e de fortalecimento muscular
- Reduza o tempo sentado ou deitado durante o dia
- Comece gradualmente se estiver sedentário
- Encontre atividades prazerosas para manter a consistência
Controle de Peso
- Mantenha um peso saudável para sua altura e estrutura corporal
- Se necessário, busque perder peso gradualmente (0,5-1kg por semana)
- Monitore a circunferência abdominal (indicador de gordura visceral)
- Evite dietas muito restritivas ou perda de peso muito rápida
- Busque orientação profissional para um plano personalizado
Outros Cuidados Importantes
- Limite ou evite o consumo de álcool: O álcool sobrecarrega o fígado e pode agravar a esteatose.
- Controle condições médicas: Mantenha diabetes, hipertensão e colesterol sob controle.
- Evite a automedicação: Muitos medicamentos podem sobrecarregar o fígado.
- Realize check-ups regulares: Exames periódicos podem detectar alterações precocemente.
- Hidrate-se adequadamente: A água ajuda o fígado a eliminar toxinas.
- Durma bem: O sono adequado é importante para a saúde metabólica.
- Controle o estresse: O estresse crônico pode afetar negativamente o metabolismo.
Transforme a Saúde do Seu Fígado Hoje!
Descubra um programa completo com estratégias comprovadas para reverter a gordura no fígado naturalmente. Baseado em pesquisas científicas e recomendações médicas.
Quero Cuidar do Meu Fígado Agora!Conclusão: A Importância do Diagnóstico Precoce
A gordura no fígado é uma condição cada vez mais comum em nossa sociedade, afetando pessoas de todas as idades. Embora muitas vezes silenciosa em seus estágios iniciais, a esteatose hepática pode progredir para formas mais graves se não for identificada e tratada adequadamente.
O acompanhamento médico regular é fundamental para o diagnóstico precoce e tratamento eficaz
O reconhecimento dos sintomas, mesmo os mais sutis, e a busca por avaliação médica são passos fundamentais para proteger a saúde do seu fígado. Lembre-se de que a esteatose hepática é reversível em seus estágios iniciais, e as mudanças no estilo de vida são a base do tratamento.
Seu fígado trabalha incansavelmente para manter seu corpo saudável. Retribua esse cuidado adotando hábitos que promovam a saúde hepática e esteja atento aos sinais que seu corpo envia.
Se você identificou alguns dos sintomas mencionados neste artigo ou possui fatores de risco para a esteatose hepática, não hesite em procurar orientação médica. Um diagnóstico precoce pode fazer toda a diferença para sua qualidade de vida e saúde a longo prazo.
Pronto para Transformar a Saúde do Seu Fígado?
Acesse agora nosso programa completo com estratégias naturais e eficazes para combater a gordura no fígado. Baseado em evidências científicas e recomendações médicas.
Quero Conhecer o Programa CompletoNota: Este artigo tem caráter informativo e não substitui a consulta com um profissional de saúde. Sempre procure orientação médica para diagnóstico e tratamento de qualquer condição de saúde.
